Κλείστε το ραντεβού
σας εύκολα και γρήγορα.
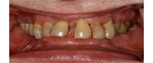
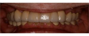
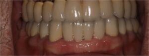
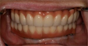
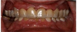
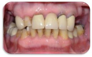
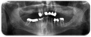
Η Προσθετικη οδοντιατρικη ειναι ο κλαδος της οδοντιατρικης που ασχολειται με την αποκατασταση μεγαλης η μικρης νωδοτητας στον οδοντικο φραγμο.
Η Προσθετικη Οδοντιατρικη χωριζεται σε
- Ακινητη προσθετικη, δηλαδη στεφανες και γεφυρες
- Κινητη προσθετικη, δηλαδη μερικες και ολικες οδοντοστοιχιες
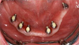
- Προσθετικη επι εμφυτευματων
Το ιατρείο μας διαθέτει ενδοστοματική κάμερα για λήψη αποτυπωμάτων.
English